Article
Cases
Osteochondroma – a benign tumour of a growing bone
DR RAMANI NARASIMHAN
SENIOR CONSULTANT, PEDIATRIC ORTHOPAEDIC SURGERY
INDRAPRASTHA APOLLO HOSPITALS, SARITA VIHAR, ND
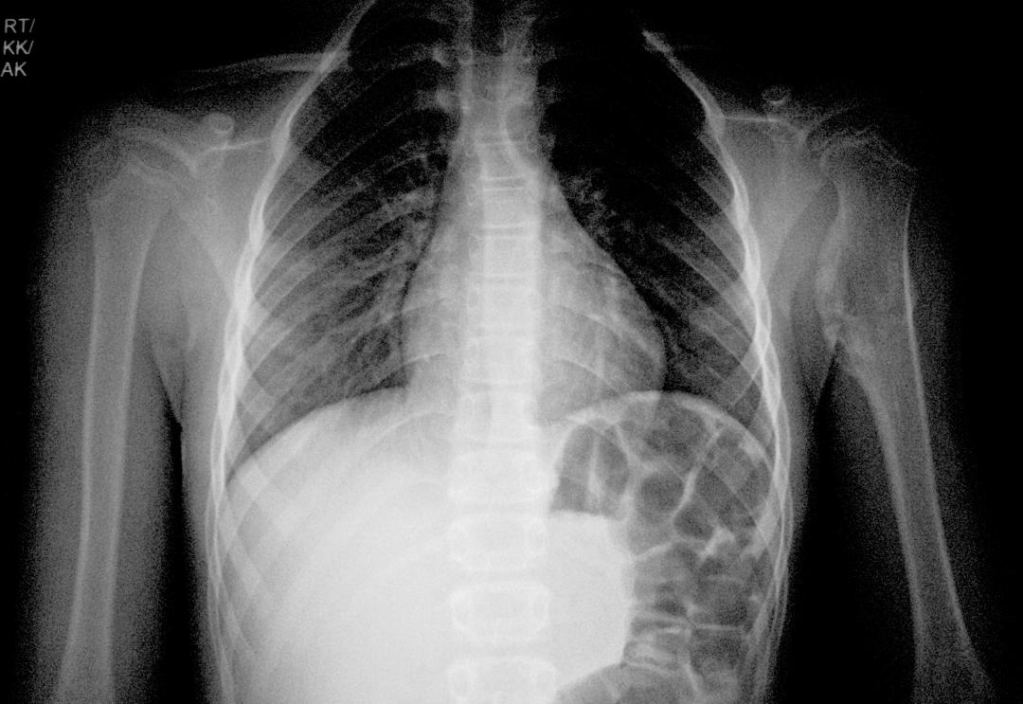
11 year old boy
Having this hard swelling over his left upper arm since 5 years No pain No restriction of shoulder motion Feels a bulge when hanging by the side of chest Slowly growing with the boy’s growth
X-ray
Shows a bony swelling over upper third of the arm bone humerus of the left side Features BENIGN SESSILE tumour (non-pedunculated)
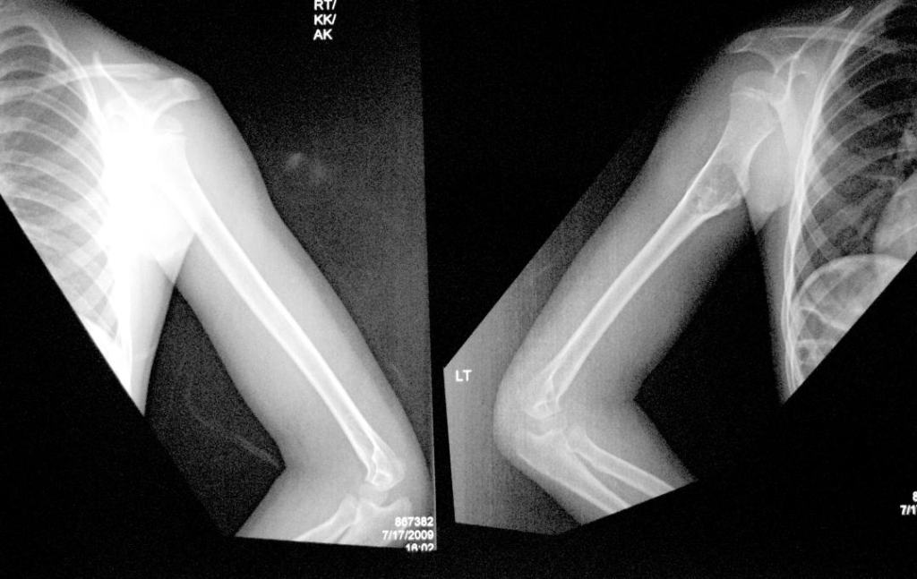
Osteochondroma upper third humerus of left side

AP view

Lateral view
Relative indication for removal
Per operative
The biopsy confirmed the diagnosis
BEFORE REMOVAL

AFTER REMOVAL

Post op
CLINICAL SNAP

After 6 months
X-RAY

