Article
Cases
A. Bone & Joint Infection
Infant presenting after 6 weeks of symptoms, with swelling over the arm & shoulder right and reluctance to move the limb due to pain. Was on different antibiotics since then.

2. X-ray in the 1st week of symptoms did not show any changes of right humerus.

The shoulder was opened and thoroughly washed. Antibiotics were adequately given for 6-8 weeks and the infection was eradicated. However,
residual complications like deformity, subsequent pathological # and limb length discrepancy were seen during follow-up.
Infections always must be ‘nipped in the bud’ otherwise:
Pathological #!

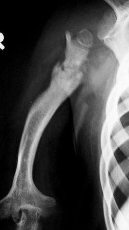
Patient is 8 years old now.
X-ray showing deformed Humerus with shoulder functions impaired
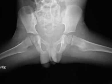
Limb-length

Limb-length Discrepancy ((LLD)! (right upper limb shorter)

B. Bone tumor (Osteoid osteoma)
8Yr old presented with painful left sided limp & pain over left hip and thigh since 6 months. It was a boring kind of pain moderate to severe in intensity and getting relieved by Ibuprofen (NSAIDs).
X-ray showed increased bone density at the region of lesser trochanter


CT showed the typical nidus in the center of a transluscent lesion in the same region of increased density – OSTEOID OSTEOMA (Benign bony tumor)

Required open surgery where the lesion was well excised and the patient recovered well. Biopsy confirmed the diagnosis. No symptoms since 3 years of surgery.
