Cases
MACRODACTYLY (GIGANTISM)
DR RAMANI NARASIMHAN
SENIOR CONSULTANT PEDIATRIC ORTHOPAEDIC SURGEON
INDRAPRASTHA APOLLO HOSPITALS, NEW DELHI
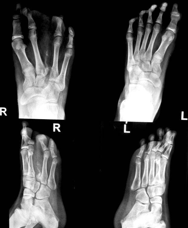
10 YEAR OLD GIRL RIGHT LOWER LIMB INVOLVEMENT RIGHT FOOT IN PARTICULAR

Old burn over thigh
treated elsewhere

2nd & 3rd toes mainly involved
Splaying of foot
PER OPERATIVE


Removal of 3rd ray
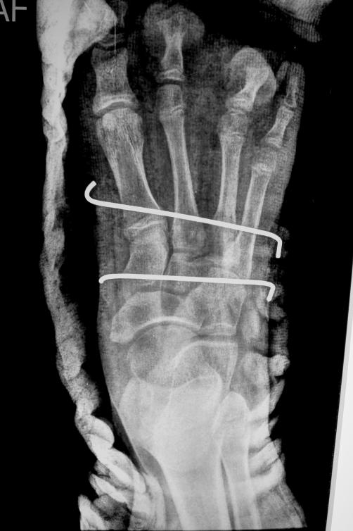
POST OP

Immediate post-op X-ray

I month post-op
2 YEARS POST-OP


Wears all footwear comfortably, satisfied
